StirilePROTV
  • PROTV News Live
  • Cauta
  • Toate categoriile
  • Știri Actuale
  • Știri Externe
  • Inspectorul PRO
  • Interviurile Știrileprotv.ro
  • Horoscopul lui Neti
  • Știri Politică
  • Vremea
  • Știri Economice
  • Știri Sănătate
  • Știri Educație
  • Știri Sport
  • Știri Justiție
  • Știri Știință
  • Știri Mondene
  • Locale
    • Cluj
    • Prahova
    • Brașov
    • Contanța
    • Satu-Mare
    • Buzău
    • Arad
    • Gorj
    • Argeș
    • Sibiu
    • Timișoara
    • Iași
    • Ploiești
    • Oradea
    • Craiova
  • Știri Cultură
  • Știri Diverse
  • Știri Sociale
  • Legal Marketing
  • iLikeIT
  • Doctor de Bine
  • Travel
  • iBani
  • PRO VERDE
  • EURomânia
  • Conectat la România
  • Deșteaptă-te, România!
  • myImpact
  • Economisire și investiții
  • Sănătos Acasă
  • I like AI
  • Zâmbet sănătos
  • Pur și simplu mulțumesc
  • PROTV News Live
  • Top citite
  • Ultimele știri
  • Emisiuni integrale
  • Video
  • România, te iubesc!
  • Inspectorul PRO
  • LIVE Știrile PRO TV
Stirileprotv.ro
Cum ar fi supraviețuit băiețelul de 5 ani timp de două zile în pădure. Explicațiile unui fost vânător
Cum ar fi supraviețuit băiețelul de 5 ani timp de două zile în pădure. Explicațiile unui fost vânător

Stiri oase

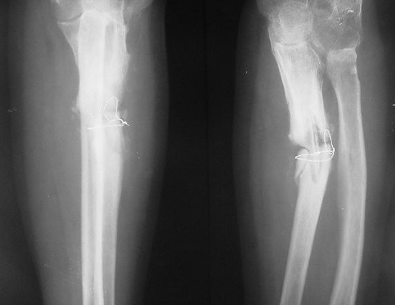
Vitamina D este esențială pentru oase sănătoase. Cum să previi complicațiile după fracturi și implanturi

Oasele nu se refac, în condiții bune, fără vitamina D. Înaintea oricărei intervenții chirurgicale, dar și după ...
Citeste mai mult ›

Mai multe fragmente osoase descoperite în curtea unei grădinițe din Galați. „Nu știm dacă sunt de origine umană sau animală”

Descoperire șocantă în curtea unei grădinițe din Galați. Muncitorii care săpau pentru refacerea rețelei de apă au dat ...
Citeste mai mult ›

Afecțiunea tot mai răspândită în rândul tinerelor. Medicii avertizează: „Boala nu mai este doar a femeilor de vârsta a treia”

Osteoporoza apare de obicei la femei după menopauză, totuși, cazurile în rândul femeilor tinere sunt ...
Citeste mai mult ›

Oase rupte, lipite în trei minute, cu un adeziv-minune inventat de cercetătorii chinezi. Revoluție în medicină

Cercetătorii chinezi susțin că au dezvoltat un adeziv osos care poate fi folosit pentru a trata fracturile și ...
Citeste mai mult ›

Cum afectează pierderea dinților forma feței și aspectul buzelor. Implanturile dentare moderne pot reda tinerețea

Aspectul tânăr depinde de proteina din piele, numită colagen, dar și de toate oasele faciale.
Citeste mai mult ›

Drogul fabricat din oase umane care face ravagii pe piețele sărace. Tinerii cad din picioare

Un drog fabricat din oase umane face ravagii pe piață, iar autoritățile din Sri Lanka au făcut o descoperire șocantă ...
Citeste mai mult ›

Supa de oase - beneficii pentru sănătate, cum se prepară și de ce ar trebui să o consumăm

Supa de oase a revenit în prim-plan în ultimii ani, fiind promovată ca un elixir natural pentru sănătate.
Citeste mai mult ›

Vitamina D: Esențială pentru refacerea oaselor după fracturi și intervenții chirurgicale

Oasele nu se refac în condiții bune fără vitamina D. Înaintea oricărei intervenții chirurgicale, dar și ...
Citeste mai mult ›

Pierdem volum osos pe măsură ce înaintăm în vârstă. Cum putem păstra în parametri normali oasele faciale

Odată cu vârsta pierdem volum osos. Pierderea este însă accelerată dacă nu mai punem suficientă forță pe ...
Citeste mai mult ›

Un craniu şi mai multe fragmente osoase, găsite pe un drum din Vrancea. Poliţiştii au deschis o anchetă

Un craniu şi mai multe fragmente osoase au fost găsite pe un drum agricol din judeţul Vrancea, iar poliţiştii au ...
Citeste mai mult ›

A vrut să mănânce un pește la o terasă din Vama Veche și a primit oase. ”Nu e mult, dar măcar e scump”

Un turist care a vrut să mănânce un pește la cherhanaua din Vama Veche a avut surpriza să primească în ...
Citeste mai mult ›

Ce tip de brânză trebuie să mâncăm pentru a preveni osteoporoza. Ingredientul secret folosit de un specialist în oase

Osteoporoza este o afecțiune medicală caracterizată prin scăderea densității osoase și deteriorarea structurii osoase, ...
Citeste mai mult ›

Locul misterios din Europa unde oamenii găsesc rămășițe umane la tot pasul. Motivul pentru care sunt îngropate acolo

O plimbare pe plajă poate transforma pe oricine într-un explorator al trecutului, mai ales când ...
Citeste mai mult ›

Un copil a găsit mai multe oase „de dinozaur” pe o plajă unde s-au filmat scene din „Doctor Who”. Ce erau de fapt

Un băiat de 7 ani a găsit pe o plajă pe care s-a filmat serialul „Doctor Who” mai multe oase.
Citeste mai mult ›

Oasele își pierd din volum începând cu vârsta de 30 de ani. Ce presupune adiția de os

Pierdem volum osos pe măsură ce înaintăm în vârstă. Dacă nu punem suficientă forță pe oase, pierderea ...
Citeste mai mult ›

Ce se întâmplă atunci când îți trosnești degetele. Ce spun medicii

Cu toții ne-am întrebat cel puțin o dată ce se întâmplă atunci când ne pocnim degetele și dacă ...
Citeste mai mult ›

Descoperire incredibilă la metrou. Are peste 120.000 de ani vechime

Extinderea uneia dintre liniile de metrou din Bruxelles s-a lăsat cu o surpriză de proporții.  
Citeste mai mult ›

Descoperirea șocantă făcută de un instalator sub podeaua unei băi. A căutat înspăimântat pe Google

Instalatorul Jonathan Betts a făcut o descoperire șocantă când repara o baie veche dintr-o casă de la țară. ...
Citeste mai mult ›

Oase umane descoperite pe Faleza din Galați de către muncitorii de la salubritate

Mai multe oase umane au fost descoperite pe Faleza Superioară din Galaţi. Descoperirea a fost făcută de muncitorii de ...
Citeste mai mult ›

O posibilă crimă petrecută în urmă cu două decenii a ieșit abia acum la iveală. Ce spun anchetatorii despre rămășițele găsite

O posibilă crimă, care s-ar fi petrecut în Mehedinți în urmă cu două decenii, a ieșit acum la iveală, ...
Citeste mai mult ›

Ce înseamnă ştiinţa în activităţile fizice din sezonul rece și cum putem evita accidentările

În mişcare, fiecare muşchi e contrabalasat tot de un muşchi. Vorbim despre echilibrul perfect din natură.
Citeste mai mult ›
  • 1
  • 2
  • 3
  • 4
  • ›
  • Despre Noi
  • Harta Site
  • Newsletter
  • Contact
  • Publicitate
  • Politica de Confidentialitate
  • Politica de Cookie
  • Termeni si Conditii
  • CNA

© 2026 PROTV. Toate drepturile rezervate.