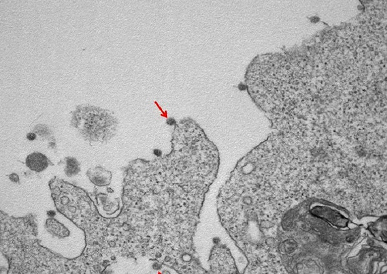
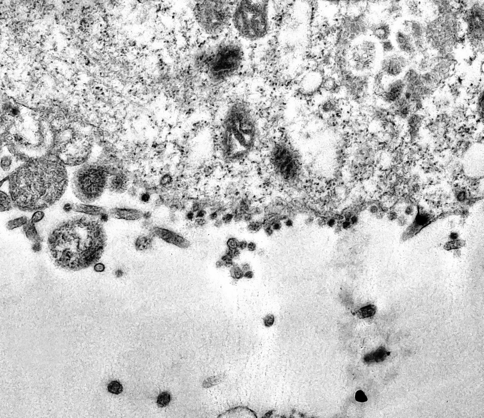
Cele mai noi imagini cu coronavirusul SARS-CoV-2 văzut la microscop. GALERIE FOTO
Oamenii de știință din Arabia Saudită au dat publicității cele mai noi imagini ale coronavirusului, de această dată putând fi observată atât structura externă a acestuia, cât și cea internă.
Imaginile au fost create printr-un model 3D și combină cele mai recente date despre structura virusului SARS-CoV-2 care cauzează pandemia Covid-19, transmite Daily Mail.
Experții de la Universitatea de Știință și Tehnologie King Abdullah (KAUST) din Arabia Saudită au creat modelul, cu scopul de a ajuta la găsirea tratamentelor pentru Covid-19.
Într-un videoclip, academicienii își prezintă modelul, care include proteina Spike, cea care formează țepii de pe suprafața sa, precum și materialul genetic din interiorul membranei virale.
„Modelul nostru 3D ilustrează actuala structură a SARS-CoV-2 și dezvăluie detalii ale virusului care înainte erau imposibil de observat. Abordarea pe care am folosit-o pentru a dezvolta modelul ar putea orienta cercetarea biologică către noi direcții promițătoare pentru combaterea răspândirii COVID-19, deoarece ar putea ajuta oamenii de știință să încorporeze rapid informații recent descoperite în model și să ofere astfel o structură actualizată virusului”, a precizat un cercetător.
Vezi în Galeria Foto cum arăta noul coronavirus în urmă cu câteva luni
Etichete: general,
Dată publicare:














