Aparatul care „citește” mișcările gurii și ajută medicii să reconstruiască dinții cu precizie. Imaginile obținute sunt 4D

×
Codul embed a fost copiat

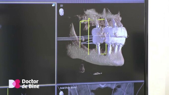
Imagini în mișcare, atunci când mestecăm, ori vorbim, pot fi înregistrate ușor în prezent. Mișcările ajută medicii să reconstruiască anatomic dinții.

Cum se mișcă maxilarele când vorbim ori când mestecăm? Mișcările, înregistrate obiectiv, vor determina viitoarele lucrări dentare.

Așa-numitul arc facial digital potrivește fin toate structurile anatomice chiar și când un singur dinte a suferit.

Dr. Anca Rusu, medic chirurgie dento-alveolară: Arcul facial digital reprezintă o metodă de a capta digital relația mișcărilor dintre mandibulă și maxilar, dinamica. În masticație în vederea realizării unui diagnostic, dar și al unui plan de tratament, adică a unei lucrări protetice cât mai corecte.

Pentru a realiza o singură coroană dentară, dar și pentru reabilitări mari, complexe: maxilar–mandibulă. Imaginile obținute, 4D, arată relația în mișcare dintre structurile anatomice care participă la masticație ori la vorbire.

Citește și
garda nationala sua
Statul Oregon a dat în judecată Casa Albă pentru a împiedica trimiterea Gărzii Naționale. „Trump a ales să ignore siguranţa”

Dr. Anca Rusu,medic chirurgie dento-alveolară: Această achiziție de date e transmisă ulterior laboratorului dentar, datele fiind folosite pentru a realiza o lucrare dentară în corelație cu anatomia pacientului, deci foarte personalizată.

Ulterior, dinții reabilitați se armonizează cu fața. Dar și cu mișcările articulației temporo-mandibulare.

Dr. Monica Bratu, medic stomatolog protetică dentară: Aici, în fața urechilor, avem două balamale. Se numește articulația temporo-mandibulară, care trebuie respectată când facem niște reabilitări. Totul trebuie să fie în armonie cu restul anatomiei, adică cu forma craniului, în care se mișcă această balama. Cu caracteristicile mișcărilor date de mușchi, adică cât vrea să se întindă un mușchi, cât vrea să se întindă un ligament.

La finalul oricărui lucrări dentare, arcul facial digital e folosit pentru a verifica corectitudinea contactelor dintre dinți.

Articol recomandat de sport.ro
Georgina, logodnica lui CR7, postare de 5 stele pe rețelele social media: ”BOOM! / Preciosa”
Georgina, logodnica lui CR7, postare de 5 stele pe rețelele social media: ”BOOM! / Preciosa”
Citește și...
Cel puţin 5 morţi şi 8 răniţi în urma atacului armat din Michigan. Atacatorul a fost împușcat de polițiști
Cel puţin 5 morţi şi 8 răniţi în urma atacului armat din Michigan. Atacatorul a fost împușcat de polițiști

Cel puţin cinci persoane au fost ucise şi alte opt au fost rănite duminică într-un incident armat la o biserică mormonă din Grand Blanc, în statul Michigan, potrivit unui nou bilanţ anunţat de poliţie, relatează CNN.  

Statul Oregon a dat în judecată Casa Albă pentru a împiedica trimiterea Gărzii Naționale. „Trump a ales să ignore siguranţa”
Statul Oregon a dat în judecată Casa Albă pentru a împiedica trimiterea Gărzii Naționale. „Trump a ales să ignore siguranţa”

Statul Oregon şi oraşul Portland au dat în judecată administraţia Trump pentru a o împiedica să trimită Garda Naţională la Portland, relatează NBC News.

Recomandări
Proiect de lege. Foști magistrați, militari și polițiști ar putea pierde locuințele de serviciu după pensionare
Proiect de lege. Foști magistrați, militari și polițiști ar putea pierde locuințele de serviciu după pensionare

Foști procurori, judecători, militari, polițiști și angajați din serviciile secrete, precum și urmașii lor, nu vor mai putea folosi locuințele de serviciu după ce sunt eliberați din funcție ori se pensionează.

Reacția lui Vladimir Putin după ce Uniunea Europeană a aprobat un împrumut de 90 miliarde de euro pentru Ucraina
Reacția lui Vladimir Putin după ce Uniunea Europeană a aprobat un împrumut de 90 miliarde de euro pentru Ucraina

Liderii Uniunii Europene au ajuns la o înțelegere pentru ca Ucraina să primească un împrumut de 90 de miliarde de euro, garantat din bugetul UE. Asta după ce nu s-au putut pune de acord asupra folosirii activelor rusești înghețate.

General NATO: Alianța va avea în România a doua platformă de aprovizionare militară a Ucrainei, după cea din Polonia
General NATO: Alianța va avea în România a doua platformă de aprovizionare militară a Ucrainei, după cea din Polonia

Livrările de arme către Ucraina nu au scăzut după oprirea donațiilor directe ale SUA, a declarat generalul Maik Keller. Misiunea NATO estimează că, din ianuarie, va folosi și un centru în România, alături de cel din Rzeszow, Polonia.