StirilePROTV
  • PROTV News Live
  • Cauta
  • Toate categoriile
  • Știri Actuale
  • Știri Externe
  • Inspectorul PRO
  • Interviurile Știrileprotv.ro
  • Horoscopul lui Neti
  • Știri Politică
  • Vremea
  • Știri Economice
  • Știri Sănătate
  • Știri Educație
  • Știri Sport
  • Știri Justiție
  • Știri Știință
  • Știri Mondene
  • Locale
    • Cluj
    • Prahova
    • Brașov
    • Contanța
    • Satu-Mare
    • Buzău
    • Arad
    • Gorj
    • Argeș
    • Sibiu
    • Timișoara
    • Iași
    • Ploiești
    • Oradea
    • Craiova
  • Știri Cultură
  • Știri Diverse
  • Știri Sociale
  • Legal Marketing
  • iLikeIT
  • Doctor de Bine
  • Travel
  • iBani
  • PRO VERDE
  • EURomânia
  • Conectat la România
  • Deșteaptă-te, România!
  • myImpact
  • Economisire și investiții
  • Sănătos Acasă
  • I like AI
  • Zâmbet sănătos
  • PROTV News Live
  • Top citite
  • Ultimele știri
  • Emisiuni integrale
  • Video
  • România, te iubesc!
  • Inspectorul PRO

Stiri RMN

Simona Halep a aflat că are hernie de disc. ”Nu se pune problema operației”

Simona Halep a aflat că are hernie de disc. ”Nu se pune problema operației”

Simona Halep a dezvăluit, marți, că are hernie de disc, după ce a fost supusă unui RMN.
Citeste mai mult ›
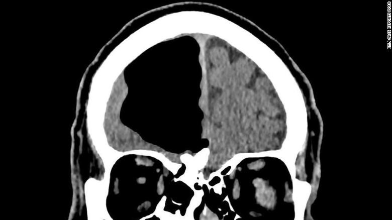
Descoperirea medicilor în creierul unui pacient în vârstă de 84 de ani

Descoperirea medicilor în creierul unui pacient în vârstă de 84 de ani

Medicii care tratau un pacient care se plângea de pierderea repetată a echilibrului au făcut o descoperire ...
Citeste mai mult ›
Premierul Tudose, decizie importantă pentru toate spitalele: Orice român să beneficieze! Nu e o pomană

Premierul Tudose, decizie importantă pentru toate spitalele: Orice român să beneficieze! Nu e o pomană

Premierul Mihai Tudose a semnat contracte pentru cumpărarea de echipamente medicale, necesare efectuării de analize ...
Citeste mai mult ›
Românii, forțați să aștepte cu lunile sau să meargă la privat pentru o analiză vitală

Românii, forțați să aștepte cu lunile sau să meargă la privat pentru o analiză vitală

Pacienţii din România continuă să fie umiliţi de sistemul public de Sănătate.
Citeste mai mult ›
Pacienţii plătesc degeaba asigurările de sănătate. Nu sunt fonduri pentru RMN-uri decontate

Pacienţii plătesc degeaba asigurările de sănătate. Nu sunt fonduri pentru RMN-uri decontate

Marii furnizori de servicii medicale anunţă că nu mai au fonduri pentru tomografii sau RMN, decontate prin Casa de ...
Citeste mai mult ›
Analiza medicală pentru care românii așteaptă și un an

Analiza medicală pentru care românii așteaptă și un an

Românii aşteaptă între două luni şi un an ca să poată beneficia de o investigaţie medicală complexă numită ...
Citeste mai mult ›
Accidentele vasculare cerebrale, care omoara un pacient din doi, sunt agravate de fumat. RMN-ul, prima metoda de preventie

Accidentele vasculare cerebrale, care omoara un pacient din doi, sunt agravate de fumat. RMN-ul, prima metoda de preventie

In ultimii 20 ani de ani studiile au facut cert legatura dintre gene si accidentele vasculare cerebrale. Atat cele care ...
Citeste mai mult ›
Puteti face o investigatie RMN chiar daca aveti implanturi dentare. Care sunt riscurile de pierdere a unui dinte pus astfel

Puteti face o investigatie RMN chiar daca aveti implanturi dentare. Care sunt riscurile de pierdere a unui dinte pus astfel

Imi fac un implant, o sa mai pot apela la testarea tip RMN? Da, este rapunsul pe care il dau medicii. Imensul magnet pe ...
Citeste mai mult ›
Nu neglijati simptomele in zona aparatului ORL. Ce poate ascunde o banala senzatie de urechi infundate

Nu neglijati simptomele in zona aparatului ORL. Ce poate ascunde o banala senzatie de urechi infundate

Vi se infunda frecvent o singura ureche? Sau aveti alt tip de simptome, tot asa, la o singura ureche? Ei bine, ambele ...
Citeste mai mult ›
Sef de laborator de la Spitalul de Neurochirurgie din Iasi, retinut de DNA. Medicul refuza cazurile venite in urgenta

Sef de laborator de la Spitalul de Neurochirurgie din Iasi, retinut de DNA. Medicul refuza cazurile venite in urgenta

Seful Laboratorului de Radiologie si Imagistica de la Spitalul de Neurochirurgie din Iasi a fost retinut sambata seara ...
Citeste mai mult ›
Recomandarile la nivel mondial pentru tratarea cancerului. Cum se abordeaza un caz in cele mai mari centre din lume

Recomandarile la nivel mondial pentru tratarea cancerului. Cum se abordeaza un caz in cele mai mari centre din lume

O decizie de echipa si respectarea tuturor protocoalelor internationale in oncologie. Asa se trateaza, la nivel ...
Citeste mai mult ›
"Te duci la medic si stai ca un bou". La Timisoara, aparatura spitalului de stat e nefolosita, dar la clinica privata e coada

"Te duci la medic si stai ca un bou". La Timisoara, aparatura spitalului de stat e nefolosita, dar la clinica privata e coada

Spitalele romanesti: un sistem secatuit intr-un mod halucinant, prin colaborari, contracte pentru servicii ...
Citeste mai mult ›
Computer tomograf sau RMN? Care sunt cele mai indicate analize pentru depistarea la timp a cancerului

Computer tomograf sau RMN? Care sunt cele mai indicate analize pentru depistarea la timp a cancerului

Un diagnostic de cancer este intotdeauna o drama pentru pacient. In acest moment insa, boala trebuie invinsa cu toate ...
Citeste mai mult ›
Un neurolog american a descoperit ca este psihopat dupa si-a studiat propriile RMN-uri

Un neurolog american a descoperit ca este psihopat dupa si-a studiat propriile RMN-uri

James Fallon, un neurolog american premiat, a descoperit, in 2005, ca este psihopat dupa ce, fara sa vrea, si-a studiat ...
Citeste mai mult ›
Cat de grea le face viata sistemul medical romanilor supraponderali. Fac sute de km pentru un RMN

Cat de grea le face viata sistemul medical romanilor supraponderali. Fac sute de km pentru un RMN

De peste 20 de ani, sistemul medical romanesc se zbate sa iasa din vrie, iar in tot acest timp cei care au nevoie de ...
Citeste mai mult ›
In sistemul medical din Romania, "GRATUIT" inseamna platit sau amanat cateva luni. CAMERA ASCUNSA

In sistemul medical din Romania, "GRATUIT" inseamna platit sau amanat cateva luni. CAMERA ASCUNSA

Investigatiile medicale au devenit un lux pentru tot mai multi oameni. Asa numitele trimiteri gratuite pentru examen ...
Citeste mai mult ›
Se modernizeaza Spitalul de Urgenta din Alba Iulia

Se modernizeaza Spitalul de Urgenta din Alba Iulia

Spitalul din Alba Iulia beneficiaza de investitii masive, de peste 2 milioane de euro. Din acesti bani se vor finanta ...
Citeste mai mult ›
  • ‹
  • 1
  • 2
  • Despre Noi
  • Harta Site
  • Newsletter
  • Contact
  • Publicitate
  • Politica de Confidentialitate
  • Politica de Cookie
  • Termeni si Conditii
  • CNA

© 2026 PROTV. Toate drepturile rezervate.