Casca lui Dumnezeu. Dispozitivul care contrariaza lumea stiintifica
Profesorul Michael Persinger este inventatorul a ceea ce este cunoscut sub numele de "Casca lui Dumnezeu". Acest dispozitiv este purtat de o persoana si poate transmite variatii electromagnetice lobilor temporali ai creierului.
Discovery.com: Persinger considera ca aceste semnale pot produce o experienta religioasa pentru orice subiect care poarta casca. El argumenteaza ca pulsatiile electromagnetice fac ca loul stang "sa traduca" aceasta activitate in partea dreapta a creierului ca fiind o prezenta.
Cei care au experimentat "Casca lui Dumnezeu" au declarat ca au simtit mai multe prezente: de la cea a lui Dumnezeu, la cele ale demonilor.
Potrivit inventatorului castii, aproximativ 80% dintre subiecti au simtit o prezenta in mintea lor.
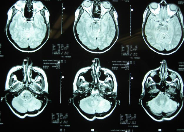
RMN-urile facute in timp ce subiectii purtau "casca lui Dumnezeu" arata o activitate crescuta in zona creierului care primea semnale electromagnetice.


Washington Post: Opozant rus: Vladimir Putin "a ucis" statul democratic "Putin a ucis statul democratic. A pus in loc un stat mafiot corupt, dar a ucis statul democratic. Este evident si toata lumea stie acest lucru", a declarat Nemtov in cadrul unei conferinte de presa sustinute in Parlamentul European. Putin a ramas adevaratul lider al Rusiei, a apreciat el, considerand ca presedintele Dmitri Medvedev nu este un "presedinte real". "Este un blogger bun", a declarat el ironic. El l-a comparat pe Putin cu fostul presedinte egiptean Hosni Mubarak. "El spera sa aiba un viitor mai radios dar nu sunt sigur", a declarat el.
The New York Times: Berlusconi, cel fara frica. Nu este "absolut deloc ingrijorat" din cauza procesului "Pentru Dumnezeu, nu vreau sa vorbesc despre asta, tot ce pot sa va spun este ca nu sunt absolut deloc ingrijorat", a declarat el, in timp ce se afla alaturi de ministrul Economiei, Giulio Tremonti, la o conferinta de presa consacrata intreprinderilor mici si mijlocii. El adoptase anterior un ton mustrator la adresa unui alt jurnalist, cerandu-i sa puna intrebari legate de tema conferintei de presa. Jurnalistul facuse aluzie la o remarca a lui Berlusconi privind lentoarea procedurilor civile, intrebandu-l daca nu considera, din contra, prea rapid procesul penal care ii era intentat la Milano.
The Guardian: Irakianul care a doborat regimul Hussein printr-o minciuna Dezertorul Rafid Ahmed Alwan al-Janabi, care a convins Casa Alba ca Irakul avea un program secret de arme biologice, a recunoscut, pentru prima data, ca a mintit si ca a fost socat ca afirmatiile sale au fost utilizate pentru a justifica razboiul din Irak. "Poate ca aveam dreptate, poate ca nu", a declarat el. "Ei mi-au dat aceasta sansa. Aveam sansa sa inventez ceva pentru a rasturna regimul. Eu si fiii mei suntem mandri de acest lucru si pentru ca suntem motivul care le-a oferit irakienilor accesul la democratie", a subliniat el. Fostul director al CIA in Europa Tyler Drumheller considera "fascinanta" aceasta marturisire a lui al-Janabi, adaugand ca aparitia adevarului il face sa se "simta mai bine".
The Telegraph: Senatorul John Kerry prezinta scuze pentru moartea a doi pakistanezi, ucisi de un american "Suntem profund dezolati, cu adevarat dezolati de acest incident tragic", a declarat Kerry, in cursul unei conferinte de presa, imediat dupa sosirea sa in Lahore, in estul Pakistanului. "Am venit aici pentru a exprima regretele noastre profunde pentru acest eveniment tragic si pentru a impartasi tristetea poporului american pentru pierderile de vieti pe care le-a cauzat", a adaugat el. Vizita lui Kerry vizeaza in special sa rezolve criza diplomatica izbucnita dupa arestarea, la sfarsitul lui ianuarie, la Lahore, a lui Raymond Davis, un cetatean american care a marturisit ca a ucis doi pakistnezi, deoarece s-ar fi pregatit sa il atace, a declarat o sursa americana, sub protectia anonimatului.