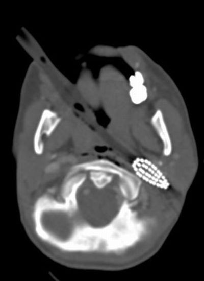
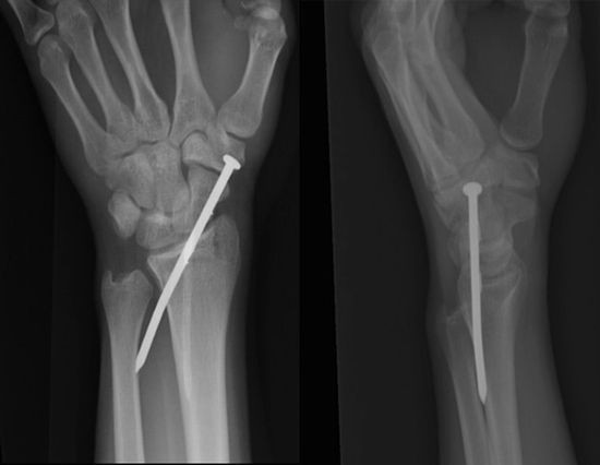
Radiografii terifiante: foarfece in cap, cuie in gat si furculite in mana
Surublenite infite in cap, plamani "dotati" cu cuie sau laringe "presarat" cu foarfece. Sunt numai cateva dintre cele mai ingrozitoare radiografii cu care s-au confruntat medicii de-a lungul timpului.
Fie ca a fost vorba despre accidente sau malformatii, de oamenii sau animale, cu siguranta "perfomentele" lor i-au lasat cu gura cascata pe medici.
Cu atat mai mult cu cat au supravietuit miraculos unor situatii delicate, carora cu siguranta nu au vrut sa le cada victime.
Iata mai jos o serie cu unele dintre cele mai "spectaculoase" radiografii.















