Un chinez a cascat atat de tare incat si-a perforat un plaman. Explicatia medicilor

masina

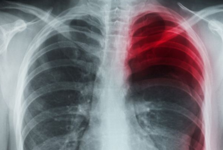
Caz inedit in China. Un barbat, in varsta de 26 de ani, a cascat atat de tare de oboseala incat si-a perforat un plaman.

Barbatul, din provincia Hubei, a povestit presei chineze ca, intr-o dimineata, a cascat si s-a intins atat de violent incat a ajuns la spital cu plamanul perforat, relateaza Daily Mail.

 

Doctorii au explicat ca de vina pentru accidentul ciudat al barbatului este constitutia acestuia: tanarul e foarte slab si inalt (1.75 inaltime si 57 de kilograme)

Dupa ce s-a trezit si s-a intins, au inceput durerile, asa ca barbatul a ajuns la spital pentru ca de abia putea respira.

Citește și
petrol burse
Cea mai bună zi din ultimii trei ani pentru bursele europene joi. Pauza tarifară anunțată de Trump a contribuit la creșteri

Pneumotoracele spontan nu este o afectiune total neobisnuita, explica doctorii, insa in cele mai multe cazuri are loc in urma unei lovituri in piept sau a unei boli a plamanilor. Cele mai comune simptome sunt durerea acuta in piept si dificultatea in a respira.

 

Articol recomandat de sport.ro
Așa arată Cuplul care a șocat pe toată lumea s-a despărțit după o săptămână: ”E mai bine pentru amândoi”„bijuterie” de 100 de milioane de euro din România: „Încercăm să copiem ce e afară”
Așa arată Cuplul care a șocat pe toată lumea s-a despărțit după o săptămână: ”E mai bine pentru amândoi”„bijuterie” de 100 de milioane de euro din România: „Încercăm să copiem ce e afară”
Citește și...
Cea mai bună zi din ultimii trei ani pentru bursele europene joi. Pauza tarifară anunțată de Trump a contribuit la creșteri
Cea mai bună zi din ultimii trei ani pentru bursele europene joi. Pauza tarifară anunțată de Trump a contribuit la creșteri

Bursele europene au încheiat ziua de joi în creştere puternică, după ce preşedintele american Donald Trump a anunţat o suspendare temporară a noilor tarife impuse majorităţii partenerilor comerciali ai SUA, în pofida incertitudinilor. 

O femeie din Suceava a distrus cu pietre mașina unei polițiste. De ce s-a răzbunat pe agentă
O femeie din Suceava a distrus cu pietre mașina unei polițiste. De ce s-a răzbunat pe agentă

O femeie din orașul sucevean Milișăuți a provocat distrugeri mașinii personale a unei polițiste, chiar în fața sediului de Poliție, supărată că a fost întreruptă în timpul unei partide de sex.

Și-a spălat adidașii cu detergent și i-a luat în picioare. L-a prins ploaia, iar pățania lui a devenit virală
Și-a spălat adidașii cu detergent și i-a luat în picioare. L-a prins ploaia, iar pățania lui a devenit virală

Postarea unui tânăr care și-a spălat adidașii cu detergent, iar apoi aceștia au făcut clăbuci în ploaie, a devenit virală.

Recomandări
Ger cumplit în toată țara și ninsori în următoarele zile. Temperaturile scad până la -19 grade. ANM a emis cod galben
Ger cumplit în toată țara și ninsori în următoarele zile. Temperaturile scad până la -19 grade. ANM a emis cod galben

Meteorologii au emis mai multe atenționări de Cod Galben pentru zilele următoare. Vom avea parte de ger extrem, temperaturi deosebit de scăzute și ninsori locale.

Câștiguri record la Pilonul II în 2025. Câți bani s-au strâns în contul unui român care a cotizat din 2008
Câștiguri record la Pilonul II în 2025. Câți bani s-au strâns în contul unui român care a cotizat din 2008

În 2025, Pilonul II a avut cel mai bun an de când există. Fondurile de pensii private obligatorii au obținut un randament mediu de aproape 20%.

„E ca o zonă de război, străzile sunt pline de sânge”. Regimul de la Teheran reprimă brutal protestele: Peste 500 de morți
„E ca o zonă de război, străzile sunt pline de sânge”. Regimul de la Teheran reprimă brutal protestele: Peste 500 de morți

În Iran, protestatarii continuă să iasă în stradă, în ciuda represiunii brutale. Pe rețelele de socializare au apărut imagini în care din mulțime se aud voci care cer ajutor în limba engleză.