Ce au descoperit medicii în stomacul unui pacient care avea o tuse persistentă. FOTO

radiografie
Twitter

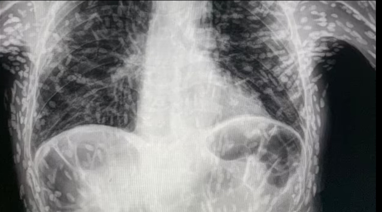
Un pacient care avea o tuse persistentă a descoperit că avea un parazit intestinal, în urma unei radiografii cu raze X, relatează Daily Mail.

După ce s-a prezentat la spital, acesta a descoperit că în stomacul său există rămășițele unui parazit. Teniaza este o infecție cauzată de ingerarea de mâncare sau lichide contaminate cu ouă sau larve de tenie.

Un medic din Botucatu, cel care a publicat radiografia pacientului pe Twitter, recomandă oamenilor ca alimentele să fie bine spălate înainte de a fi consumate, pentru a preveni astfel de infecții.

„Cisticercoza este dobândită prin ingerarea de ouă de tenie. Spălați-vă bine alimentele înainte de a le consuma! Dacă nu aveți nicio afecțiune a creierului, măduvei spinării sau ochilor, nici măcar nu trebuie să vă tratați. Aceste leziuni sunt calcificate, astfel încât nu sunt cisticerci viabile (larve de tenie). Dacă nu provoacă niciun disconfort, viața continuă”, a precizat dr. Vitor Borin de Souza, medic la Spitalul das Clínicas din Botucatu.

Astfel de chisturi pot provoca, însă, moartea. Dacă durerile de cap și chiar convulsiile sunt frecvente, acești noduli pot duce, de asemenea, la confuzie, amețeli și o afecțiune numită hidrocefalie, un exces de lichid în creier, care - dacă nu este trataă la timp - poate fi fatală. În aceste cazuri, este necesară o intervenție chirurgicală pentru a elimina chisturile.

Citește și
parazit care mananca limba
Parazit care mănâncă limba, surprins în pești. Imaginile au devenit virale. FOTO
Articol recomandat de sport.ro
Reacția uluitoare a rușilor, după ce Anastasia Potapova a ales cetățenia austriacă: ”Ce a câștigat ea pentru noi?”
Reacția uluitoare a rușilor, după ce Anastasia Potapova a ales cetățenia austriacă: ”Ce a câștigat ea pentru noi?”
Citește și...
Greșeala banală făcută de un tânăr înainte să se culce. Și-a pierdut vederea la un ochi
Greșeala banală făcută de un tânăr înainte să se culce. Și-a pierdut vederea la un ochi

Un tânăr de 21 de ani din SUA și-a pierdut vederea după ce a adormit purtând lentilele de contact. Acesta a fost diagnosticat cu o infecție oculară - un parazit îi mănâncă ochiul, relatează Daily Star.

Parazit care mănâncă limba, surprins în pești. Imaginile au devenit virale. FOTO
Parazit care mănâncă limba, surprins în pești. Imaginile au devenit virale. FOTO

O postare cu un parazit care intră într-un pește prin branhii, îi mănâncă limba și o înlocuiește a uimit utilizatorii platformei Reddit.

Carantină în Florida după descoperirea unor melci giganți invazivi. Conțin un parazit periculos pentru oameni
Carantină în Florida după descoperirea unor melci giganți invazivi. Conțin un parazit periculos pentru oameni

Un județ din Florida se află în carantină din cauza descoperirii unei populații în creștere rapidă de melci giganți invazivi.

Un bărbat din SUA trăia de zeci de ani cu tenie moartă în creier
Un bărbat din SUA trăia de zeci de ani cu tenie moartă în creier

Un bărbat în vârstă de 38 de ani din Boston a ajuns la spital cu convulsii inexplicabile. S-a dovedit că acesta trăia de ani de zile cu o tenie moartă în creier, potrivit Live Science.

O boală parazitară asemănătoare cancerului se răspândește de la câini la oameni
O boală parazitară asemănătoare cancerului se răspândește de la câini la oameni

Un parazit care se poate transimte de la câini la oameni s-a răspândit deja în Canada, avertizează experții.

Recomandări
ÎCCJ contestă din nou la CCR legea privind pensiile speciale din Justiție: „Discriminează magistrații”
ÎCCJ contestă din nou la CCR legea privind pensiile speciale din Justiție: „Discriminează magistrații”

Înalta Curte de Casație și Justiție (ÎCCJ) a decis, vineri, să sesizeze din nou Curtea Constituțională a României (CCR) în privința legii pensiilor speciale ale magistraților.

Căldură gratis în calorifere, trafic rutier ”ca afară” sau case pentru tineri. Ce promit candidații la Primăria Capitalei
Căldură gratis în calorifere, trafic rutier ”ca afară” sau case pentru tineri. Ce promit candidații la Primăria Capitalei

Energie termică gratis, fluidizarea traficului rutier sau locuințe pentru tineri. ȘtirileProTv.ro vă prezintă cele mai importante promisiuni electorale ale candidaților la alegerile pentru Primăria Capitalei, care sunt organizate în 7 decembrie 2025.

Noua strategie de securitate a SUA conţine câteva cuvinte dure la adresa Europei. Trump dezvăluie ce își dorește pentru lume
Noua strategie de securitate a SUA conţine câteva cuvinte dure la adresa Europei. Trump dezvăluie ce își dorește pentru lume

Noua strategie de securitate naţională a lui Donald Trump, publicată discret joi, conţine câteva cuvinte dure la adresa Europei, sugerând că aceasta se află într-un declin civilizaţional, şi acordă relativ puţină atenţie Orientului Mijlociu şi Africii.