FOTO. La 25 de ani, refuza sa zambeasca din cauza dintilor. Transformarea este uimitoare
Eleasha Newberry, de 25 de ani, lucreaza ca asistent social. Desi draguta, era atata de complexata de dentura ei incat nici nu mai dorea sa zambeasca. Totul s-a schimbat dupa ce a castigat un concurs.
Eleasha a castigat concursul Dream Makeover Essex, care i-a dat posibilitatea sa-si transforme radical infatisarea, relateaza Daily Mail.
Ajutata de mai multi experti si de interventii care au costat peste 25.000 de lire sterline, tanara arata acum ca o vedete de cinema.
Eleasha s-a inscris la concurs dupa ce a aflat despre el intamplator, in timp ce cauta pe Internet sfaturi despre cum isi poate repara dantura.

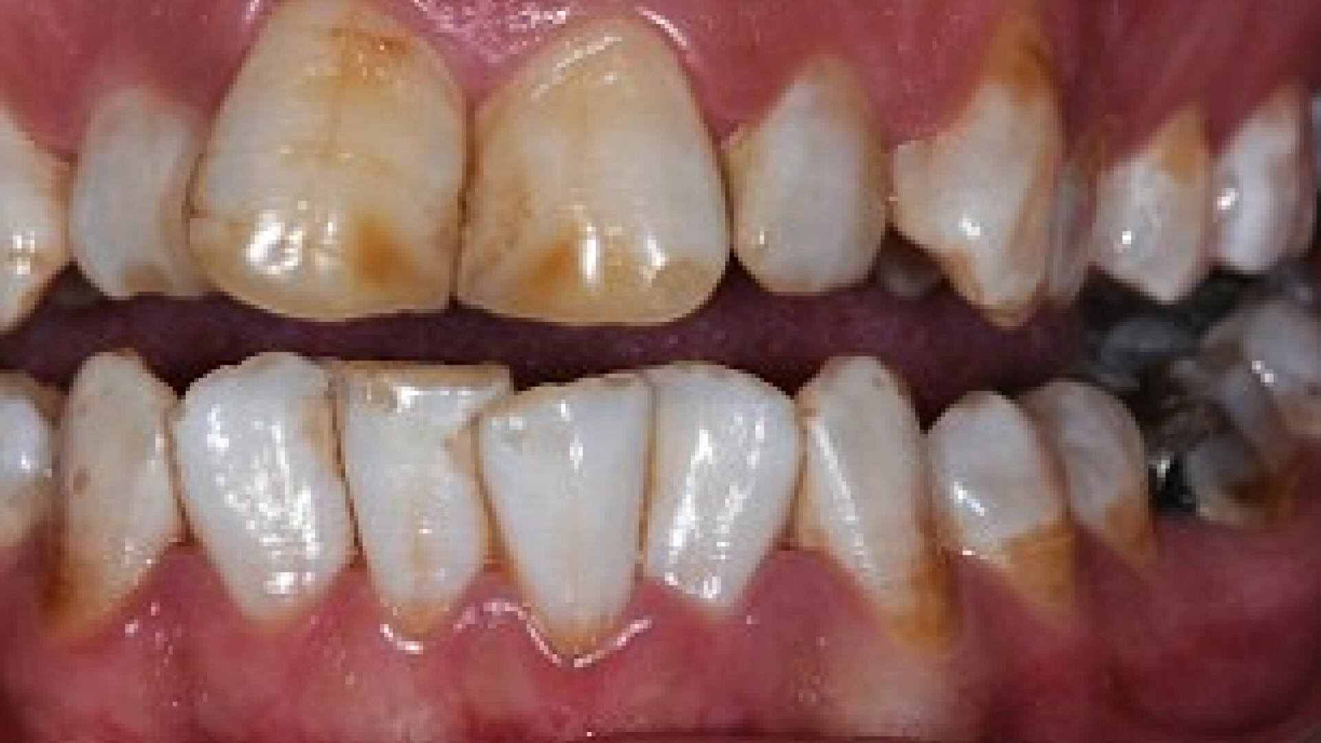
Aspectul inestetic al dintilor tinerei nu se datoreaza unei igiene incorecte, ci unui accident suferit in copilarie, la locul de joaca. In urma unei lovituri, mai multi dinti au fost afectati si nervii lor distrusi. In timp, acestia au devenit maronii.
Pe langa refacerea danturii, tanara a beneficiat de interventii cu laser la ochii, pentru a scapa de ochelari, cosmetica faciala si tratamente de intinerire a tenului.

Transformarea ei a inclus si sedinte de fitness si sfaturi primite de la specialisti pentru ingrijirea parului si pentru alegerea hainelor potrivite.
Dupa aceasta schimbare uimitoare, Eleasha spune ca este foarte increzatoare in propriile forte si vrea sa mearga la facultate, ca sa obtina o diploma in literatura engleza.
