Caz umanitar. O tanara care si-a dedicat timpul liber ajutorarii copiilor saraci se lupta acum pentru viata ei
Oana Livadariu, o tanara de 34 de ani care a lucrat la Asociatia OvidiuRO, dedicandu-si timpul ajutorarii copiilor saraci care nu pot merge la scoala, se lupta acum pentru propria viata si are nevoie de ajutor.
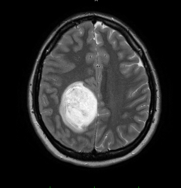
In varsta de 34 de ani, Oana a fost diagnosticata cu o tumora pe creier, fiind operata la Spitalul Bagdasar, in 2010, urmand apoi un tratament cu radioterapie.
Timp de trei ani si jumatate, lucrurile pareau a se fi intors la normal. Asta pana la recidiva si tratamentul cu citostatice. Din nou, Oana a crezut ca a scapat.
Insa, in urma cu doua luni, boala a revenit - mai agresiva ca niciodata. Tanara nu mai poate fi operata in Romania, pentru ca nu mai are o tumora compacta, ci o gramada de celule foarte agresive, raspandite și infiltrate printre cele sanatoase. Dar exista in Canada, la Montreal Neurological Institute and Hospital, posibilitatea unei operații printr-o tehnica speciala. Se numește fluorescence-guided resection of brain tumors si presupune rezecția tumorii cu ajutorul unei substanțe fluorescente care delimiteaza vizual zonele infiltrate.

Costul operatiei este estimat la 100.000 de euro, suma comunicata de doctorul Kevin Petrecca, cel care ar urma sa o opereze pe Oana.
Tanara are acum nevoie de ajutor pentru a strange banii necesari, bani care ii vor da sansa sa traiasca in continuare.


Mai jos sunt conturile in care, cei care pot si vor, au posibilitatea de a ajuta la strangerea sumei de 100.000 de euro. Fiecare euro strans reprezinta poate inca o secunda, un minut, o ora de viata pentru Oana.
Oana Livadariu:
Raiffeisen Bank (cod SWIFT RZBRROBU), sucursala Victoriei
LEI – RO34 RZBR 0000 0600 0834 2460
EURO – RO05 RZBR 0000 0600 1532 2908
CONT PAY-PAL: [email protected]
Sursa: Pro TV
Etichete: creier, cancer, ajutor, operatie, donatii, caz umanitar,
Dată publicare:
08-10-2014 16:23