StirilePROTV
  • PROTV News Live
  • Cauta
  • Toate categoriile
  • Știri Actuale
  • Știri Externe
  • Inspectorul PRO
  • Interviurile Știrileprotv.ro
  • Horoscopul lui Neti
  • Știri Politică
  • Vremea
  • Știri Economice
  • Știri Sănătate
  • Știri Educație
  • Știri Sport
  • Știri Justiție
  • Știri Știință
  • Știri Mondene
  • Locale
    • Cluj
    • Prahova
    • Brașov
    • Contanța
    • Satu-Mare
    • Buzău
    • Arad
    • Gorj
    • Argeș
    • Sibiu
    • Timișoara
    • Iași
    • Ploiești
    • Oradea
    • Craiova
  • Știri Cultură
  • Știri Diverse
  • Știri Sociale
  • Legal Marketing
  • iLikeIT
  • Doctor de Bine
  • Travel
  • iBani
  • PRO VERDE
  • EURomânia
  • Conectat la România
  • Deșteaptă-te, România!
  • myImpact
  • Economisire și investiții
  • Sănătos Acasă
  • I like AI
  • Zâmbet sănătos
  • PROTV News Live
  • Top citite
  • Ultimele știri
  • Emisiuni integrale
  • Video
  • România, te iubesc!
  • Inspectorul PRO
  • LIVE Știrile PRO TV de la ora 19:00

Stiri curiozitati

A primit un bacsis atat de mare incat a inceput sa planga. "Nu ma asteptam la asta din partea unui necunoscut"

A primit un bacsis atat de mare incat a inceput sa planga. "Nu ma asteptam la asta din partea unui necunoscut"

Chrisi Kemp, o femeie de 37 de ani din Calorina de Nord, a avut parte de surpriza vietii in barul in care lucra ca si ...
Citeste mai mult ›
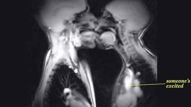
Momente de intimitate intre un barbat si o femeie, surprinse la un RMN. Ce au vrut medicii sa vada. VIDEO

Momente de intimitate intre un barbat si o femeie, surprinse la un RMN. Ce au vrut medicii sa vada. VIDEO

O echipa de medici din Statele Unite au realizat un clip interesant cu ajutorul unor imagini surprinse in timpul unui ...
Citeste mai mult ›
Cum poate o lume intreaga sa vada ce faceti in casa, indiferent de ora, daca aveti webcam. Recomandarile specialistilor

Cum poate o lume intreaga sa vada ce faceti in casa, indiferent de ora, daca aveti webcam. Recomandarile specialistilor

Un experiment realizat de Daily Mail scoate la iveala cat de nesigure sunt camerele de filmat montate in casa si cum ...
Citeste mai mult ›
Are 28 de copii cu 9 femei. Cum a reusit un barbat din Marea Britanie sa duca o astfel de viata

Are 28 de copii cu 9 femei. Cum a reusit un barbat din Marea Britanie sa duca o astfel de viata

Michael Redman este un sofer de autobuz din Marea Britanie si a ajuns in atentia tabloidelor din cauza numarului mare ...
Citeste mai mult ›
Fotografia care a ingrozit internetul e o mare farsa. Ce apare in realitate in acest selfie

Fotografia care a ingrozit internetul e o mare farsa. Ce apare in realitate in acest selfie

Un barbat din California a starnit mare valva pe internet dupa ce a pus pe Reddit o fotografie. Imaginea le-a dat fiori ...
Citeste mai mult ›
Caz rar in Marea Britanie. Reactia medicilor cand au vazut-o pe fetita care s-a nascut cu doi dinti

Caz rar in Marea Britanie. Reactia medicilor cand au vazut-o pe fetita care s-a nascut cu doi dinti

Chloe Pullen, in varsta de 25 de ani, a trait momente incredibile in ziua in care a adus-o pe lume pe fiica ei, Rose. ...
Citeste mai mult ›
Toti oamenii pe care ii pozeaza acest fotograf rad in hohote. Ce se vede cand barbatul se intoarce cu fata. VIDEO

Toti oamenii pe care ii pozeaza acest fotograf rad in hohote. Ce se vede cand barbatul se intoarce cu fata. VIDEO

Un tanar american a dat un sens nou conceptului de fotografie nud. Caci nu cei pe care ii pozeaza sunt dezbracati, ci ...
Citeste mai mult ›
Un vitel cu trei ochi nascut in India, venerat drept reincarnarea zeitei hinduse Shiva. VIDEO

Un vitel cu trei ochi nascut in India, venerat drept reincarnarea zeitei hinduse Shiva. VIDEO

S-a nascut in urma cu numai doua saptamani, insa este faimos in toata India. Un vitel cu trei ochi este venerat drept ...
Citeste mai mult ›
Ce scrie pe certificatul de nastere al acestui barbat din Hawaii. Nici macar cont de Facebook nu-si poate face cu numele asta

Ce scrie pe certificatul de nastere al acestui barbat din Hawaii. Nici macar cont de Facebook nu-si poate face cu numele asta

Chase Nahooikaikakeolamauloaokalani Silva a declarat razboi Facebook-ului. Potrivit noilor reglementari, oricarei ...
Citeste mai mult ›
Medicii i-au pus unui pacient aflat in coma de 16 ani un film de Hitchcock. Ce s-a intamplat in timp ce pelicula rula la TV

Medicii i-au pus unui pacient aflat in coma de 16 ani un film de Hitchcock. Ce s-a intamplat in timp ce pelicula rula la TV

Un barbat de 34 de ani, aflat de 16 ani in coma in urma unui stop cardiac, a reactionat pentru prima data dupa ce ...
Citeste mai mult ›
Transformarea ei l-a facut pe mire sa nu o recunoasca. Ce a determinat-o pe tanara sa faca asta. FOTO

Transformarea ei l-a facut pe mire sa nu o recunoasca. Ce a determinat-o pe tanara sa faca asta. FOTO

Kirsty Thomas, in varsta de 25 de ani, a decis sa faca o schimbare majora in ziua in care si-a gasit rochia de mireasa ...
Citeste mai mult ›
Premiera juridica: o fetita din Brazilia are in mod legal trei parinti. Un judecator a decis totul

Premiera juridica: o fetita din Brazilia are in mod legal trei parinti. Un judecator a decis totul

O copila din Brazilia are in mod legal trei parinti: doua mame si un tata, care apar in certificatul de nastere.
Citeste mai mult ›
A reusit sa isi sarute din nou sotia dupa 10 ani. Cum arata barbatul cu chipul mutilat de cancer dupa reconstructia faciala

A reusit sa isi sarute din nou sotia dupa 10 ani. Cum arata barbatul cu chipul mutilat de cancer dupa reconstructia faciala

 Donnie Fritts, 55 de ani,a fost diagnosticat in urma cu 10 ani cu o forma de cancer extrem de rara. Medicii nu am ...
Citeste mai mult ›
Un producator de la NBC, implicat intr-un scandal sexual. Barbatul e acuzat de fosta iubita ca ar fi filmat-o fara acordul ei

Un producator de la NBC, implicat intr-un scandal sexual. Barbatul e acuzat de fosta iubita ca ar fi filmat-o fara acordul ei

Carlo Dellaverson, in varsta de 30 de ani, este un cunoscut producator de stiri de la NBC. Barbatul a ajuns in toata ...
Citeste mai mult ›
Prietenii credeau ca e intr-o vacanta exotica dupa pozele puse pe Facebook. Momentul in care au aflat adevarul, greu de uitat

Prietenii credeau ca e intr-o vacanta exotica dupa pozele puse pe Facebook. Momentul in care au aflat adevarul, greu de uitat

Zilla van den Born, o tanara de 25 de ani din Amsterdam, a reusit sa starneasca invidia prietenilor de pe Facebook cu ...
Citeste mai mult ›
Pedeapsa primita de o femeie din India pentru ca a nascut o fetita si nu un baiat. Cum au gasit-o autoritatile

Pedeapsa primita de o femeie din India pentru ca a nascut o fetita si nu un baiat. Cum au gasit-o autoritatile

O femeie din India a fost tinuta inchisa intr-o baie timp de 3 ani de catre sotul ei. Barbatul a decis sa o pedepseasca ...
Citeste mai mult ›
Mama i-a facut o pagina online, iar acum baiatul de 4 ani este fotomodel de talie mondiala. Cum s-a intamplat totul

Mama i-a facut o pagina online, iar acum baiatul de 4 ani este fotomodel de talie mondiala. Cum s-a intamplat totul

Destinul unui baietel din Statele Unite pare sa fie acela de a ajunge un fotomodel de talie mondiala. Mama lui i-a ...
Citeste mai mult ›
Scenele dintr-un film i-au distrus viata. Timp de 40 de ani nu a reusit sa paraseasca dormitorul

Scenele dintr-un film i-au distrus viata. Timp de 40 de ani nu a reusit sa paraseasca dormitorul

Gina Frost din Marea Britanie regreta enorm faptul ca s-a uitat la filmul “The Exorcist”, lansat in 1973. ...
Citeste mai mult ›
A incercat sa se sinucida din cauza ca era obez. A supravietuit, iar astazi este aproape imposibil de recunoscut. FOTO

A incercat sa se sinucida din cauza ca era obez. A supravietuit, iar astazi este aproape imposibil de recunoscut. FOTO

Britanicul Mike Waudby, in varsta de 32 de ani, a incercat sa se sinucida din cauza greutatii sale. La 29 de ani, ...
Citeste mai mult ›
Un centru comercial abandonat de 17 ani ascunde un lucru extraordinar. Ce s-a descoperit sub el

Un centru comercial abandonat de 17 ani ascunde un lucru extraordinar. Ce s-a descoperit sub el

O cladire abandonata din Bankok, Thailanda, a gazduit mult timp un centru comercial iubit de locuitori pana sa intre in ...
Citeste mai mult ›
S-a oprit sa faca plinul si a auzit un zgomot ciudat de sub masina. Ce a gasit sub capota: "Nu-mi pot explica"

S-a oprit sa faca plinul si a auzit un zgomot ciudat de sub masina. Ce a gasit sub capota: "Nu-mi pot explica"

Pisicile chiar au noua vieti! Asta pare sa demonstreze un videoclip cu o felina scoasa de sub capota unei masini, dupa ...
Citeste mai mult ›
  • ‹
  • 1
  • ...
  • 23
  • 24
  • ...
  • 33
  • 43
  • 53
  • ...
  • 123
  • 223
  • ...
  • 276
  • ›
  • Despre Noi
  • Harta Site
  • Newsletter
  • Contact
  • Publicitate
  • Politica de Confidentialitate
  • Politica de Cookie
  • Termeni si Conditii
  • CNA

© 2026 PROTV. Toate drepturile rezervate.