Vocea unei femei este de nerecunoscut după o operație de hernie de disc. Ce s-a întâmplat când s-a trezit din anestezie
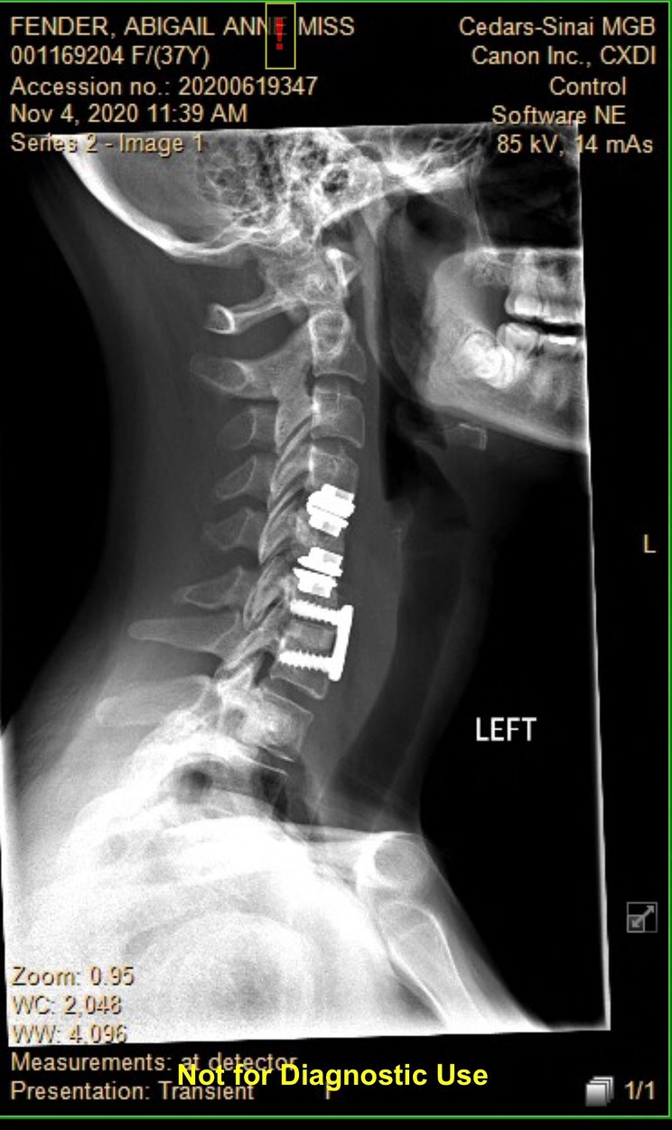
O femeie din Texas a avut parte de un șoc când s-a trezit din anestezie după o intervenție chirurgicală pentru o hernie de disc și a constatat că că vorbește cu accent, și nu reușește să își recapete vocea și tonul ei normale.
Abby Fender, 39 de ani, a intrat într-o criză de identitate de când i-a apărut simptomul bizar și se vede nevoită să mintă în privința originii sale, ca să evite conversațiile incomode sau neplăcute, relatează Daily Mail.
Medicii au fost surprinși să constate că femeia suferă de sindromul accentului străin - o afecţiune neurologică rară, care apare în general din cauza traumelor severe aduse creierului, de obicei prin lovire sau accident vascular. Sunt unele cazuri însă, în care nu poate fi stabilită cauza nu poate fi stabilită.
Abby a făcut terapie logopedică ca să scape de vocea de „Minnie Mouse rusă”, dar apoi s-a confruntat cu o nouă problemă – acum și-a dezvoltat un accent australian.
„M-am trezit din operație și am știut imediat că ceva nu este în regulă cu vocea mea. În curând am început să simt că tonul vocii mele devine foarte foarte subțire și am numit-o "voce de Minnie Mouse rusă", pentru că sunam mereu ca un personaj de desene animate”, a sus Abby, o cântăreață profesionistă.
Femeia a primit sprijin de la mama ei, Jane, în vârstă de 72 de ani, și de la tatăl ei, David, de 75 de ani, care au ajutat-o să se treacă mai ușor peste această problemă.
„Încep să mă simt în regulă cu totul, dar, desigur, cea mai recentă schimbare a mea a stârnit sentimente neașteptate de frică și jenă. Nu-mi place să nu dețin controlul sau să știu cum voi suna. Este foarte înfricoșător”, a mai spus ea.









