Nu rata cele mai noi știri și informații de ultimă oră. Activați notificările
Nu rata cele mai noi știri și informații de ultimă oră!
StirilePROTV
  • PROTV News Live
  • Cauta
  • Toate categoriile
  • Inspectorul Pro
  • Știri Actuale
  • Știri Externe
  • Știri Politică
  • Horoscopul lui Neti
  • Vremea
  • Alegeri Locale
  • Știri Economice
  • Știri Sănătate
  • Știri Educație
  • Știri Sport
  • Știri Justiție
  • Știri Mondene
  • Știri Știință
  • Locale
    • Cluj
    • Prahova
    • Brașov
    • Constanța
    • Satu Mare
    • Buzău
    • Arad
    • Gorj
    • Argeș
    • Sibiu
    • Timișoara
    • Iași
    • Ploiești
    • Oradea
    • Craiova
  • Știri Cultură
  • Știri Diverse
  • Alegeri SUA
  • Știri Sociale
  • Legal Marketing
  • iLikeIT
  • Doctor de Bine
  • Travel
  • iBani
  • myImpact
  • Interviurile Stirileprotv.ro
  • PRO VERDE
  • EURomânia
  • Conectat la România
  • Economisire și investiții
  • Sănătos Acasă
  • I like AI
  • Zâmbet sănătos
  • PROTV News Live
  • Top citite
  • Ultimele Stiri
  • Emisiuni Integrale
  • Video
  • Romania, te iubesc!
  • 30 de ani în 30 de zile
  1. Stirileprotv
  2. EXCLUSIV ONLINE

EXCLUSIV ONLINE

Toata lumea l-a criticat fara motiv. Adevarul din spatele cererii in casatorie ce a avut loc in timpul unei alte nunti
Luni 01 Iunie 2015

Toata lumea l-a criticat fara motiv. Adevarul din spatele cererii in casatorie ce a avut loc in timpul unei alte nunti

Suparare mare pe internet dupa ce o imagine de la o nunta a devenit viral. Dupa ce s-au ...
Plimbatorul de caini, un job tot mai profitabil in Marea Britanie. Sumele uriase care se pot castiga intr-un an
Luni 01 Iunie 2015

Plimbatorul de caini, un job tot mai profitabil in Marea Britanie. Sumele uriase care se pot castiga intr-un an

Un nou job ia amploare in Marea Britanie - plimbatorul profesionist de caini. Britanicii ...
Campania ingenioasa a unui brand de lenjerie intima. Ce apare de fapt in aceste imagini
Luni 01 Iunie 2015

Campania ingenioasa a unui brand de lenjerie intima. Ce apare de fapt in aceste imagini

Unul dintre cele mai cunoscute brand-uri de lenjerie intima din Argentina, Jane Pain, ...
Tatuajul pe care un barbat il va regreta toata viata. S-a grabit si nu mai poate repara nimic. FOTO
Duminica 31 Mai 2015

Tatuajul pe care un barbat il va regreta toata viata. S-a grabit si nu mai poate repara nimic. FOTO

Convins ca echipa sa favorita va castiga Cupa Angliei, un suporter al clubului Aston ...
Un american a descoperit cu ajutorul unui iPhone ca un paianjen i se ascundea in ureche. Cum a reactionat. VIDEO
Duminica 31 Mai 2015

Un american a descoperit cu ajutorul unui iPhone ca un paianjen i se ascundea in ureche. Cum a reactionat. VIDEO

Un barbat din Statele Unite a filmat cu telefonul mobil un paianjen care i se ascundea in ...
De frica dentistului, nu a fost niciodata la cabinet si si-a lipit dintii cu Super Glue. Cum arata acum dantura femeii. FOTO
Duminica 31 Mai 2015

De frica dentistului, nu a fost niciodata la cabinet si si-a lipit dintii cu Super Glue. Cum arata acum dantura femeii. FOTO

O femeie din Marea Britanie, care a trait toata viata cu frica de medicii stomatologi, nu ...
Un barbat a murit injunghiat de un peste spada. Ultimul gest pe care l-a facut inainte de a muri video article
Duminica 31 Mai 2015

Un barbat a murit injunghiat de un peste spada. Ultimul gest pe care l-a facut inainte de a muri

Capitanul unui vas de pescuit a murit injunghiat de un peste spada, in apele portului ...
Reactia unui bebelus de 10 luni care o intalneste pentru prima data in viata pe sora geamana a mamei sale. VIDEO
Sambata 30 Mai 2015

Reactia unui bebelus de 10 luni care o intalneste pentru prima data in viata pe sora geamana a mamei sale. VIDEO

Un bebelus de 10 luni a avut o reactie la care nimeni nu s-a asteptat in momentul in care ...
A dorit o schimbare si a mers la salonul de cosmetica. Rezultatul, un dezastru pentru femeie. FOTO
Sambata 30 Mai 2015

A dorit o schimbare si a mers la salonul de cosmetica. Rezultatul, un dezastru pentru femeie. FOTO

Vanda, in varsta de 55 de ani, din Londra, si-a dorit sa scape pe parul inestetic de pe ...
Cum se transforma o femeie cu arsuri pe 60% din suprafata pielii dupa ce este machiata de un profesionist
Sambata 30 Mai 2015

Cum se transforma o femeie cu arsuri pe 60% din suprafata pielii dupa ce este machiata de un profesionist

Bethan Hughes, in varsta de 31 de ani, a suferit arsuri pe 60% din suprafata fetei si ...
O profesoara risca 10 ani de inchisoare din cauza unor fotografii pe care le-a aratat elevilor. Ce reprezentau imaginile
Sambata 30 Mai 2015

O profesoara risca 10 ani de inchisoare din cauza unor fotografii pe care le-a aratat elevilor. Ce reprezentau imaginile

O profesoara de liceu le-a aratat elevilor ei fotografii cu sanii ei inainte si dupa ...
Imagini spectaculoase, surprinse de un iPhone scapat in ocean. Ce apare in filmare cand ajunge la fund. VIDEO
Sambata 30 Mai 2015

Imagini spectaculoase, surprinse de un iPhone scapat in ocean. Ce apare in filmare cand ajunge la fund. VIDEO

Cativa tineri au vrut sa-si filmeze excursia pe coasta orasului american San Diego cu un ...
Video viral. Ce s-a intamplat dupa ce un pescar cu un caiac a reusit sa prinda un peste urias
Sambata 30 Mai 2015

Video viral. Ce s-a intamplat dupa ce un pescar cu un caiac a reusit sa prinda un peste urias

Un barbat care a iesit la pescuit doar cu un caiac a reusit sa prinda un peste urias, ...
Un angajat al unei companii britanice low-cost, fotografiat in timp ce \
Sambata 30 Mai 2015

Un angajat al unei companii britanice low-cost, fotografiat in timp ce "repara motorul unui avion cu banda adeziva"

Un pasager s-a declarat "socat" dupa ce a fotografiat un angajat al companiei ...
A economisit ani de zile pentru a inchiria un Ferrari de ziua sotiei, insa au facut accident in cateva ore. Nota lor de plata
Vineri 29 Mai 2015

A economisit ani de zile pentru a inchiria un Ferrari de ziua sotiei, insa au facut accident in cateva ore. Nota lor de plata

Un barbat din Beaconsfield, Anglia, a vrut sa-i faca o surpriza de proportii sotiei sale, ...
Gravida in luna a 8-a, trantita la pamant de politistii din California. Imaginile au declansat un scandal urias in SUA. VIDEO video article
Vineri 29 Mai 2015

Gravida in luna a 8-a, trantita la pamant de politistii din California. Imaginile au declansat un scandal urias in SUA. VIDEO

Un nou scandal tulbura apele in politia americana si de aceasta data vizeaza cativa ...
Urmarire \ video article
Vineri 29 Mai 2015

Urmarire "spectaculoasa", cu 20 km/h, pe soselele din SUA. Ce au gasit politistii in masina suspectului

Urmaririle in mare viteza sunt ceva obisnuit pe soselele americane. Dar, in Texas, s-a ...
Clipul ajuns viral pe internet. Ce a facut o britanica dupa ce taximetristul i-a cerut de trei ori mai mult pentru cursa
Joi 28 Mai 2015

Clipul ajuns viral pe internet. Ce a facut o britanica dupa ce taximetristul i-a cerut de trei ori mai mult pentru cursa

O femeie din Marea Britanie a avut parte de o surpriza neplacuta atunci cand a urcat in ...
\
Joi 28 Mai 2015

"Nazist al gramaticii", anchetat de procurorii din Rusia. "M-au intrebat daca vreau sa EXTERMIN toate greselile de limba"

Campania impotriva extremismului dusa de autoritatile din Rusia in ultima vreme are si ...
Nu se mai epileaza de opt ani si crede ca asta o face sa fie o femeie adevarata. Cum arata tanara fara haine. FOTO
Joi 28 Mai 2015

Nu se mai epileaza de opt ani si crede ca asta o face sa fie o femeie adevarata. Cum arata tanara fara haine. FOTO

O studenta cu pilozitate in exces a postat online fotografii cu ea si a scris un eseu in ...
Momentul in care o femeie a fost la un pas sa fie lovita de fulger. Filmarea a ajuns viral pe internet. VIDEO
Joi 28 Mai 2015

Momentul in care o femeie a fost la un pas sa fie lovita de fulger. Filmarea a ajuns viral pe internet. VIDEO

O femeie din Irlanda a tras o sperietura de moarte in timp ce filma ploaia de afara cu ...
Erau ultimele zile de viata ale cainelui sau. Gestul unui tanar pentru patrupedul sau de 16 ani e impresionant
Joi 28 Mai 2015

Erau ultimele zile de viata ale cainelui sau. Gestul unui tanar pentru patrupedul sau de 16 ani e impresionant

Dupa ce cainele sau a fost doagnosticat cu o boala in faza terminala, un tanar din New ...
Era nunta lor, insa un invitat le-a furat momentul. Gestul pentru care a fost criticat de peste 1.000 de persoane
Joi 28 Mai 2015

Era nunta lor, insa un invitat le-a furat momentul. Gestul pentru care a fost criticat de peste 1.000 de persoane

 O fotografie incarcata pe Reddit a adunat peste 1.000 de comentarii, si nu tocmai ...
O tanara a intrat in stop cardiac si sansele de supravietuire erau mici. Ce s-a intamplat dupa ce a dormit langa bebelusul ei
Joi 28 Mai 2015

O tanara a intrat in stop cardiac si sansele de supravietuire erau mici. Ce s-a intamplat dupa ce a dormit langa bebelusul ei

O proaspata mamica din Birmingham, Marea Britanie, a trait o clipa miraculoasa care i-a ...
Cum arata actritele din filmele pentru adulti inainte sa fie machiate. Transformarile lor sunt spectaculoase
Joi 28 Mai 2015

Cum arata actritele din filmele pentru adulti inainte sa fie machiate. Transformarile lor sunt spectaculoase

Dezbracate de haine si “imbracate” cu foarte mult machiaj. Acesta este ...
Momentul in care un american ocupat sa trimita mesaje calca pe un sarpe lung de 1 metru. Ce a urmat apoi: VIDEO video article
Joi 28 Mai 2015

Momentul in care un american ocupat sa trimita mesaje calca pe un sarpe lung de 1 metru. Ce a urmat apoi: VIDEO

Un american din Oklahoma a aflat intr-un mod dureros de ce nu este bine sa stai cu ochii ...
Un pensionar italian a fost descoperit mumificat la sapte ani de la deces. Cum au stabilit autoritatile data mortii
Miercuri 27 Mai 2015

Un pensionar italian a fost descoperit mumificat la sapte ani de la deces. Cum au stabilit autoritatile data mortii

Executorii judecatoresti care au patruns in casa unui pensionar italian dupa ce acesta a ...
Iubita refuza sa se casatoreasca cu el din cauza tatuajelor de pe corp. Cum arata tanarul de 31 de ani fara tricou. FOTO
Miercuri 27 Mai 2015

Iubita refuza sa se casatoreasca cu el din cauza tatuajelor de pe corp. Cum arata tanarul de 31 de ani fara tricou. FOTO

Multi oameni fac in tineretea lor lucruri pe care mai tarziu le regreta, dar pentru un ...
A inceput sa planga cand si-a vazut iubita in rochie de mireasa. Adevarul din spatele pozelor care au emotionat mii de oameni
Miercuri 27 Mai 2015

A inceput sa planga cand si-a vazut iubita in rochie de mireasa. Adevarul din spatele pozelor care au emotionat mii de oameni

Cand Adam Harris, un tanar de 23 de ani din SUA, si-a vazut iubita imbracata in rochie de ...
Momentul in care o chelnerita din Rusia il invata o lectie pe un client agresiv. Clipul de aproape 6 milioane de afisari
Miercuri 27 Mai 2015

Momentul in care o chelnerita din Rusia il invata o lectie pe un client agresiv. Clipul de aproape 6 milioane de afisari

O chelnerita din Rusia i-a dat o lectie unui client agresiv, iar intamplarea surprinsa pe ...
O britanica a cheltuit alocatia copiilor pe 12 ani pentru operatiile sale estetice. Cum si-a motivat femeia gestul
Miercuri 27 Mai 2015

O britanica a cheltuit alocatia copiilor pe 12 ani pentru operatiile sale estetice. Cum si-a motivat femeia gestul

O femeie din Marea Britanie a starnit furia opiniei publice dupa ce a recunoscut ca a ...
Cum s-a razbunat un tanar pe iubita infidela. Farsa cu care a devenit celebru pe internet
Miercuri 27 Mai 2015

Cum s-a razbunat un tanar pe iubita infidela. Farsa cu care a devenit celebru pe internet

Multi oameni ar fi suparati sa afle ca partenerul de viata ii insala, insa iubitul unei ...
Un tanar si-a filmat sotia in timp ce ea avea o criza de nervi. Ce a urmat apoi a devenit viral pe internet
Miercuri 27 Mai 2015

Un tanar si-a filmat sotia in timp ce ea avea o criza de nervi. Ce a urmat apoi a devenit viral pe internet

Un barbat si-a filmat nevasta in timp ce aceasta facea o criza de nervi, iar clipul a ...
Videoclipul scandalos pentru care o tanara a ajuns la inchisoare. Autoritatile o acuza ca \
Miercuri 27 Mai 2015

Videoclipul scandalos pentru care o tanara a ajuns la inchisoare. Autoritatile o acuza ca "incita la desfranare"

Libertatea de exprimare pare a fi doar o iluzie in Egipt, unde o tanara a fost arestata ...
A fost incoronata Regina liceului, dar s-a intamplat o tragedie in timp ce se intorcea acasa. Ultimul mesaj postat de tanara
Miercuri 27 Mai 2015

A fost incoronata Regina liceului, dar s-a intamplat o tragedie in timp ce se intorcea acasa. Ultimul mesaj postat de tanara

De trei zile, ploile record si inundatiile fac prapad in centrul Texasului si in ...
Ei sunt \
Marti 26 Mai 2015

Ei sunt "regii Instagramului". Pozele lor sunt urmarite de 10 milioane de oameni: stilul extravagant care i-a facut celebri

Cum este sa fii putred de bogat, fara nicio o obligatie si inconjurat de femei superbe? ...
Nimeni nu a reusit sa mearga pe aceasta bicicleta. Motivul este de-a dreptul banal
Marti 26 Mai 2015

Nimeni nu a reusit sa mearga pe aceasta bicicleta. Motivul este de-a dreptul banal

Mersul pe bicicleta este una dintre deprinderile pe care le inveti in copilarie si nu le ...
Gestul impresionant al unui batran, la aniversarea a 57 de ani de casnicie. Ce a facut pentru sotia sa internata in spital
Marti 26 Mai 2015

Gestul impresionant al unui batran, la aniversarea a 57 de ani de casnicie. Ce a facut pentru sotia sa internata in spital

Un cuplu din Georgia, SUA, arata ce inseamna sa fii alaturi de persoana iubita la bine si ...
Au mers la ecografie, dar nu s-au asteptat niciodata la asa ceva. Ce au vazut atunci cand medicul le-a aratat bebelusul
Marti 26 Mai 2015

Au mers la ecografie, dar nu s-au asteptat niciodata la asa ceva. Ce au vazut atunci cand medicul le-a aratat bebelusul

Daca pe vremuri, de sarcina se ocupa mama, acum lucrurile au evoluat, tehnologia ne-a ...
Farsa la care a fost supus un britanic, la petrecerea burlacilor. Toata lumea s-a oprit sa ii faca poze
Luni 25 Mai 2015

Farsa la care a fost supus un britanic, la petrecerea burlacilor. Toata lumea s-a oprit sa ii faca poze

Un britanic in varsta de 41 de ani, pentru care prietenii au organizat o petrecere a ...
A cerut nota de plata si nu i-a venit sa creada. Mesajul pe care chelnerul i l-a scris pe bonul fiscal
Luni 25 Mai 2015

A cerut nota de plata si nu i-a venit sa creada. Mesajul pe care chelnerul i l-a scris pe bonul fiscal

Liryca Neville Branch, o tanara in varsta de 23 de ani, din New Orleans, a fost revoltata ...
Femeia care isi alapteaza fiica de 6 ani chiar si la scoala. Fetita spune ca laptele mamei sale are gust de acadele
Luni 25 Mai 2015

Femeia care isi alapteaza fiica de 6 ani chiar si la scoala. Fetita spune ca laptele mamei sale are gust de acadele

O femeie din Australia isi alapteaza fiica, desi a ajuns la varsta de 6 ani, si spune ca ...
Locuitorii unui oras din Australia, surprinsi de o aparitie neobisnuita. Cum arata cangurul \
Luni 25 Mai 2015

Locuitorii unui oras din Australia, surprinsi de o aparitie neobisnuita. Cum arata cangurul "cu muschi". VIDEO

Un cangur mai putin obisnuit si-a facut aparitia intr-o suburbie a orasului Brisbane din ...
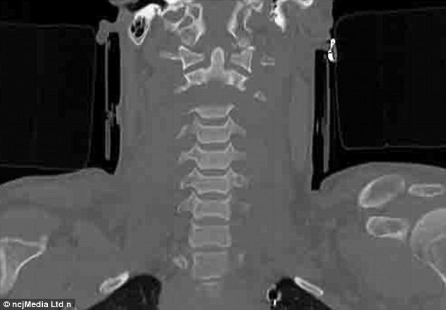
Capul i s-a desprins de sira spinarii in momentul accidentului. Povestea barbatului care i-a surprins pe medici
Luni 25 Mai 2015

Capul i s-a desprins de sira spinarii in momentul accidentului. Povestea barbatului care i-a surprins pe medici

Tony Cowan, in varsta de 29 de ani, este supravietuitorul unui accident ingrozitor. Capul ...
O tanara din Brazilia cauta prin gunoaie pentru a-si creste baietelul de 3 ani. Ce a descoperit intr-o zi i-a schimbat viata
Luni 25 Mai 2015

O tanara din Brazilia cauta prin gunoaie pentru a-si creste baietelul de 3 ani. Ce a descoperit intr-o zi i-a schimbat viata

Ana dos Santos Cruz, o tanara de 23 de ani din Brazilia, a avut parte de sansa vietii ...
Blonde sau brunete? Ce prefera barbatii nu este intamplator: explicatia stiintifica din spatele gusturilor
Luni 25 Mai 2015

Blonde sau brunete? Ce prefera barbatii nu este intamplator: explicatia stiintifica din spatele gusturilor

Perceptia populara este ca barbatii prefera blondele. Insa un studiu recent efectuat pe ...
Un tanar britanic si-a omorat familia, apoi a disparut de acasa. Ce au descoperit politstii pe pagina lui de Facebook
Luni 25 Mai 2015

Un tanar britanic si-a omorat familia, apoi a disparut de acasa. Ce au descoperit politstii pe pagina lui de Facebook

Politia din Oxfordshire, Marea Britanie, este in alerta, dupa ce un tanar de 21 de ani ...
Incident bizar intr-un bar din Australia. Ce a surprins un fotograf dupa ce a descarcat pozele pe calculator
Luni 25 Mai 2015

Incident bizar intr-un bar din Australia. Ce a surprins un fotograf dupa ce a descarcat pozele pe calculator

Felicity Cole a lucrat ca fotograf la un eveniment cu tematica spirituala din Townsville, ...
  • ‹
  • 1
  • ...
  • 106
  • 107
  • 108
  • ...
  • 117
  • 127
  • 137
  • ...
  • 207
  • 307
  • 407
  • ...
  • 477
  • ›
  • Despre Noi
  • Harta Site
  • Newsletter
  • Contact
  • Publicitate
  • Politica de Confidentialitate
  • Politica de Cookie
  • Termeni si Conditii
  • CNA

© 2025 PROTV. Toate drepturile rezervate.